Epidemia de coronavirus s-a extins pe întreg globul. Din păcate, în momentul de față nu există un tratament. Însă, ce se știe cu siguranță este că atacă plămânii.

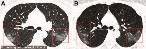
The First Hospital of Lanzhou University au publicat în revista Radiology radiografiile unei femei, de 33 de ani, infectată cu virusul ucigaș, ce arată efectul crunt pe care îl are asupra plămânilor.

Potrivit Daily Mail, femeia a ajuns la spitalul din Lanzhou, China, cu o temperatură de 38.8 și respirație îngreunată, după o tuse seacă care a ținut-o cinci zile. Se pare că aceasta lucrează la Wuhan, locul de unde provine coronavirusul.

Așadar, femeia a fost diagnosticată cu noul coronavirus, după ce s-a remarcat numărul extrem de scăzut de celule albe din sânge, ceea ce înseamnă că avea o infecție în corp. În radiografii se poate observa cum virusul se extinde în organism și îi acaparează plămânii.

Cum arată radiografia pulmonară a unei tinere cu coronavirus. Medicii, uluiți de viteza cu care virusul înaintează în organism 482

Peste 120.000 de cazuri confirmate, până în prezent

În momentul actual coronavirusul s-a răspândit în 107 țări și s-au înregistrat aproape 120.000 de cazuri confirmate. Numărul deceselor a ajuns la peste 4.000 în toată lumea.

În România, bilanțul a ajuns la 31 de cazuri confirmate și se pare că nu se oprește aici. Autoritățile iau măsuri tot mai drastice pentru a împiedica răspândirea virusului.